Press release submission | Nov 6, 2020

LLS: The Hairy Cell Leukemia Foundation and The Leukemia & Lymphoma Society Join Forces to Find New Therapies for Patients with this Rare Blood Cancer

The Leukemia & Lymphoma Society (LLS) issued the following announcement on Nov. 2.

The Hairy Cell Leukemia Foundation (HCLF) and The Leukemia & Lymphoma Society (LLS) announced they are teaming up to support a research grants program of up to $10 million over five years, to build a more comprehensive understanding of hairy cell leukemia (HCL), develop better therapies and optimize outcomes for patients with HCL.

The two organizations share a commitment to find better treatments and ultimately a cure for patients with HCL. They are soliciting proposals for the program, called HCL2025, from researchers around the world. Letters of Intent are being accepted until 3 p.m. ET January 29 and full applications by invitation are due April 16. The awarded grants will activate in October 2021.

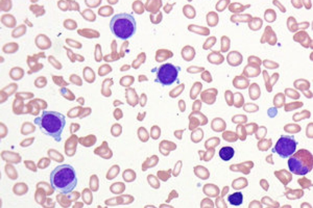
HCL is a rare hematological malignancy that infiltrates the blood, bone marrow, spleen and other organs. First described in the late 1950's, HCL is characterized by overgrowth of abnormal white blood cells that compromises the production of normal blood cells. It is named for the unique short, thin hair-like projections on the surface of these blood cancer cells. Approximately 1,200 patients in the U.S. and 1,400 in Europe are diagnosed annually. The majority of patients have the classical form of HCL. While the disease is not considered curable, these patients generally respond well to cytotoxic chemotherapy and can experience durable remissions of five to 15 years or longer. Approximately 10 to 15% of HCL patients have the variant type of HCL, a more aggressive form of the disease. Those patients tend to relapse more quickly and have a poor survival rate. Overall, HCL affects men four times more often than women. The cause of the malignancy and striking male dominance is unknown.

"Hairy cell leukemia is a rare form of blood cancer and so it is critical for us to join forces to make more progress happen in treating this disease," said Marc Stadtmauer, president of the Hairy Cell Leukemia Foundation. "Our prior collaborations with LLS have already shown great promise, and we are optimistic that this new infusion of support provided by generous donors to HCLF will drive forward new discoveries that will lead to more lives saved." 

Progress but still no cure

There have been some recent advances in treating HCL but more work needs to be done. After more than 20 years of no new therapies, the U.S. Food and Drug Administration (FDA) in September 2018 approved moxetumomab pasudotox, an antibody linked with a toxin to target the cancer in patients who had relapsed from two prior therapies. And HCLF and LLS funding has also supported other discoveries, including the detection of a mutation in a protein called B-Raf found in most HCL patients. The mutant form of B-Raf can be inhibited by an oral drug called vemurafenib, which is FDA-approved to treat some forms of melanoma with the same mutation. The drug has been tested in HCL patients and has demonstrated significant efficacy. Though vemurafenib holds promise in HCL either given alone or with CD20 antibodies, patients still relapse and therefore much more work is needed to achieve better outcomes and perhaps cures for HCL patients.

"While there has been promising progress recently in treating HCL, with much of the work supported by LLS and HCLF funding, there remains significant unmet need because patients will relapse and there is still no cure," said Lee Greenberger, Ph.D., LLS chief scientific officer. "Collaboration is critical to driving forward our research agenda, and we are grateful to have the partnership of the HCLF in supporting leading edge research that will ultimately improve outcomes for more patients with HCL."

For further information on HCL, see www.hairycellleukemia.org/hairy-cell-leukemia or www.lls.org/leukemia/hairy-cell-leukemia

Full details on the grant program will be posted on November 2, 2020 at www.HairyCellLeukemia.org/HCL2025  and www.LLS.org/Research/HCL2025

About The Hairy Cell Leukemia Foundation

The Hairy Cell Leukemia Foundation (HCLF) is the only non-profit organization with a global reach dedicated solely to hairy cell leukemia. Its mission is to improve patient outcomes through research, by advancing knowledge about HCL among oncologists and hematologists and by providing educational resources and comfort to patients and their families. The HCLF has its roots in a patient-led group founded in the 1980s. In 2008, another group of patients and international experts in HCL management were convened to identify ways to move research forward in HCL. Those two groups merged to become today's Hairy Cell Leukemia Foundation. The HCLF promotes collaboration and cooperation across an international network of institutions and continues to convene experts to further improve HCL treatment and understanding. HCLF provides a range of resources for patients and families around the world. Patients can visit www.hairycellleukemia.org to access information about HCL and participate in educational programs.

About The Leukemia & Lymphoma Society

The Leukemia & Lymphoma Society® (LLS) is a global leader in the fight against cancer. The LLS mission: cure leukemia, lymphoma, multiple myeloma, and improve the quality of life of patients and their families. LLS funds lifesaving blood cancer research around the world, provides free information and support services, and is the voice for all blood cancer patients seeking access to quality, affordable, coordinated care.

Founded in 1949 and headquartered in Rye Brook, NY, LLS has regional offices throughout the United States and Canada. To learn more, visit www.LLS.org. Patients should contact the LLS Information Resource Center at (800) 955-4572, Monday through Friday, 9 a.m. to 9 p.m., ET.

Original source can be found here.

Organizations in this story